- Description: anemia caused by defective heme metabolism, which leads to iron trapping inside the mitochondria
- Etiology
- Inherited: X-linked sideroblastic anemia due to a δ-ALA-synthase gene defect
- ALA synthase, not ALA dehydratase t
- Acquired
- Diagnostics
- CBC: microcytic anemia
- Serum iron studies
- High ferritin
- High iron
- High transferrin saturation
- Normal/low TIBC
- Peripheral blood smear
- Basophilic stippling of RBCs t
- Basophilic stippling represents the aggregation and precipitation of residual rRNA within the red blood cell cytoplasm. Lead inhibits the enzyme pyrimidine 5’-nucleotidase. This enzyme normally degrades RNA during RBC maturation. Inhibition prevents breakdown, causing rRNA to clump.
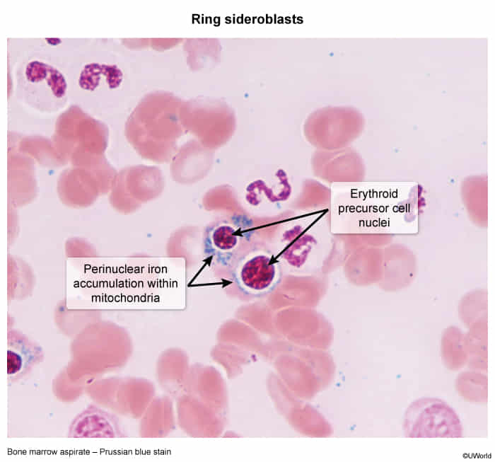
- Prussian blue staining of bone marrow: ringed sideroblasts


