Epidemiology
Etiology
Pathophysiology
Clinical features
Mnemonic
烧三天、疹三天、退三天
- Prodrome (eg, cough, coryza, conjunctivitis, fever, Koplik spots)
- Maculopapular exanthem
- Cephalocaudal & centrifugal spread
- Spares palms & soles
Complications
Common Complications (Respiratory and GI)
-
Pneumonia:
- This is the most common cause of measles-related death in children.
- Can be a secondary bacterial superinfection (e.g., S. pneumoniae, H. influenzae), which is most frequent.
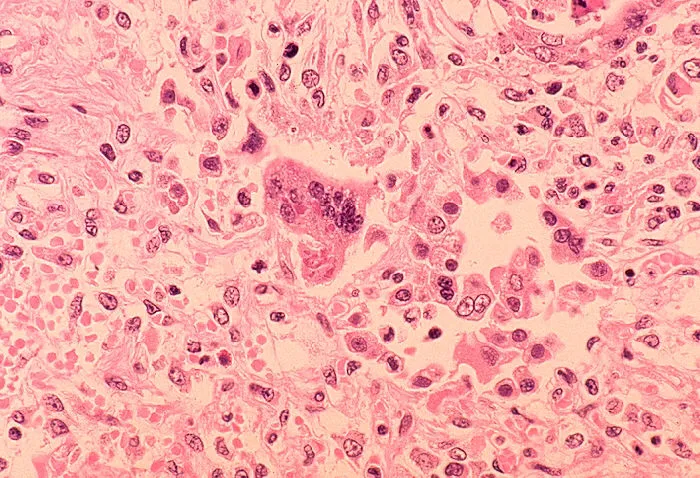
- Can also be a primary viral pneumonia, known as Hecht’s giant cell pneumonia. This interstitial pneumonitis is characterized by multinucleated giant cells and is often seen in immunocompromised patients but can occur in healthy individuals and carries a high fatality rate.

-
Otitis Media:
- An extremely common secondary bacterial infection, occurring in up to 1 in 10 children with measles. Can lead to hearing loss.
-
Laryngotracheobronchitis (Croup):
- Inflammation of the upper airways can lead to the characteristic “barking” cough and stridor.
-
Diarrhea:
- Frequently reported and can lead to significant dehydration, especially in young children.
Subacute sclerosing panencephalitis (SSPE)
- Definition: a lethal, generalized, demyelinating inflammation of the brain caused by persistent measles virus infection
- Pathophysiology: It is thought to be caused by a form of measles virus with a mutated or absent matrix protein that prevents mature (enveloped) virion particles from forming. However, the virus continues to replicate intracellularly, leading to a persistent, nonproductive infection that evades eradication by the immune system. Accumulation of viral nucleocapsids within neurons and oligodendrocytes results in the formation of intranuclear inclusions and eventually leads to inflammation, demyelination, and gliosis in many cerebral areas.
- Clinical presentation: characterized by four clinical stages
- Usually develops ≥ 7 years after measles infection
- Stage I: dementia, personality changes
- Stage II: epilepsy, myoclonus, autonomic dysfunction
- Stage III: decerebration, spasticity, extrapyramidal symptoms
- Stage IV: vegetative state, autonomic failure
- Prognosis: SSPE leads to death within 1–3 years of diagnosis)
Diagnostics
Childhood exanthems
Feature Rubella (German Measles) Measles (Rubeola) Scarlet Fever Erythema Infectiosum (Fifth Dis.) Roseola Infantum (Sixth Dis.) Varicella (Chickenpox) Agent Togavirus (RNA) Paramyxovirus (RNA) S. pyogenes (GAS) exotoxin Parvovirus B19 (DNA) HHV-6, HHV-7 (DNA) VZV (HHV-3) (DNA) Prodrome Low-grade fever, postauricular/occipital LAD, arthralgias. 3 C’s: Cough, Coryza, Conjunctivitis. High fever. Fever, pharyngitis, headache, vomiting. Mild flu-like sx. High fever (>40°C) for 3-5 days, child appears well. Fever, malaise. Enanthem Forchheimer spots (petechiae on soft palate) Koplik spots (blue-white spots on buccal mucosa). Pathognomonic. Strawberry tongue, palatal petechiae. N/A Nagayama spots (papules on soft palate). Ulcers in mouth/pharynx. Exanthem Maculopapular rash starts on face, spreads caudally in <24h. Lighter than measles. Maculopapular rash starts at hairline, spreads caudally. Confluent. ”Sandpaper” texture, diffuse erythema. Starts on trunk, spreads out. Spares palms/soles. Circumoral pallor. ”Slapped cheeks” (malar rash), followed by lacy, reticular rash on trunk/extremities. Maculopapular rash appears as fever breaks. Starts on trunk, spreads to face/extremities. Vesicular rash on erythematous base (“dew drop on a rose petal”). Lesions in different stages. Starts on trunk, spreads to face/limbs. Key Buzzwords ”3-day measles”, postauricular LAD. Congenital: PDA, cataracts, deafness. Koplik spots, 3 C’s, SSPE (late complication). Sandpaper rash, strawberry tongue, Pastia’s lines (linear petechiae in flexures). Slapped cheeks, aplastic crisis (in SCD), hydrops fetalis. Fever first, then rash. Febrile seizures common. Pruritic vesicles in crops, Tzanck smear shows multinucleated giant cells. Reactivates as shingles. Tx Supportive. MMR vaccine for prevention. Supportive, Vit A. MMR vaccine for prevention. Penicillin or Amoxicillin (to prevent rheumatic fever). Supportive. Supportive. Supportive. Acyclovir in teens/adults/immunocompromised. Live-attenuated vaccine.
Fever-rash relationship
Link to original
- Measles (Rubeola): Fever first (with cough, coryza, conjunctivitis) → Rash appears 3-5 days later, spreading from head to toe.
- Rubella (German Measles): Low-grade fever → Rash appears 1-2 days later, spreading quickly from head to toe.
- Scarlet Fever: Fever and sore throat begin together → “Sandpaper” rash appears 1-2 days later.
- Erythema Infectiosum (Fifth): Low-grade fever/prodrome resolves → “Slapped cheek” rash appears days later.
- Roseola Infantum (Sixth): High fever for 3-5 days → Fever breaks → Rash appears after the fever is gone.
- Varicella (Chickenpox): Fever and vesicular rash appear at the same time (lesions in various stages).
